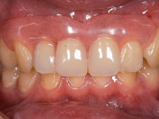
保険適用の入れ歯で、歯ぐきに接する土台部分がレジン(歯科用プラスチック)で作られています。
メリット
▷比較的短期間で完成する
▷保険適用で安価に治療できる
▷修理や調整が比較的容易
デメリット
▷強度のために床が厚く、違和感を感じやすい
▷熱が伝わりにくく温度を感じにくい
▷金属床と比べて適合性がやや劣る
▷金属床と比べて耐久性が劣る
入れ歯の土台部分に金属を使用した、丈夫で薄く、違和感の少ない自由診療の入れ歯です。
メリット
▷薄く作れるため違和感が少ない
▷強度があるためレジン床よりも壊れにくい
▷たわみが少ないためしっかり噛める
▷食事の温度を感じやすい
デメリット
▷金属アレルギーのリスクがある
▷保険適用外のため費用が高額になる
▷金属部分が破損すると修理が難しい
▷大きく口を開けると金属部分が見えることがある
保険適用の入れ歯で、歯ぐきに接する土台部分がレジン(歯科用プラスチック)で作られています。
メリット
▷比較的短期間で完成する
▷保険適用で安価に治療できる
▷修理や調整が比較的容易
デメリット
▷強度のために床が厚く、違和感を感じやすい
▷熱が伝わりにくく温度を感じにくい
▷金属床と比べて適合性がやや劣る
▷金属床と比べて耐久性が劣る
入れ歯の土台部分に金属を使用した、丈夫で薄く、違和感の少ない自由診療の入れ歯です。
メリット
▷薄く作れるため違和感が少ない
▷強度があるためレジン床よりも壊れにくい
▷たわみが少ないためしっかり噛める
▷食事の温度を感じやすい
デメリット
▷金属アレルギーのリスクがある
▷保険適用外のため費用が高額になる
▷金属部分が破損すると修理が難しい
▷大きく口を開けると金属部分が見えることがある
金属製バネの留め具(クラスプ)を使用せず、歯肉に似せた色の樹脂製土台で固定するため、見た目が自然で目立たない審美性の高い部分入れ歯です。
メリット
▷見た目が自然で目立ちにくい
▷柔軟性があるためフィット感が高い
▷金属アレルギーの心配がない
▷金属製クラスプのような負担を周囲の歯にかけない
デメリット
▷金属製に比べて耐久性に劣る
▷保険適用外のため費用が高額になる
▷柔軟性があるため安定性に欠ける場合がある
▷修理、調整が難しい場合がある
残っている歯の根に磁性金属を取り付け、入れ歯に埋め込まれた磁石と磁力で吸着させて固定する入れ歯です。
メリット
▷金属のバネがないため審美性に優れる
▷磁力でしっかりと固定される
▷取り外しが簡単で扱いやすい
▷構造がシンプルで清掃がしやすい
▷顎の骨が痩せることを防ぐ効果が期待できる
デメリット
▷保険適用外のため費用が高額になる
▷MRI検査を受ける際には申告が必要になる
▷磁石の入った歯根の状態維持のため丁寧なケアが必要
顎の骨に埋め込んだ2~6本程度のインプラント(人工歯根)で固定する入れ歯です。
メリット
▷義歯の取り外しやすさとインプラントの安定性を両立
▷従来の義歯よりもグラつきや痛みを軽減できる
▷自然な見た目になりやすい
▷顎の骨が痩せることを防ぐ効果が期待できる
デメリット
▷保険適用外のため費用が高額になる
▷インプラントと同様に手術が必要
▷毎日のケアと歯科医院での定期的なメンテナスが不可欠
