レジン充填では、虫歯となった部分を削り、そこにレジンを詰めて光で硬化させ、噛み合わせの調整をします。
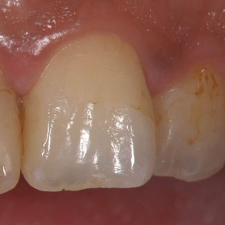
患部を確認します。
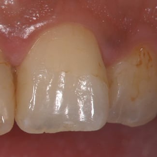
虫歯を取ります。
レジンを詰めます。
光で硬化させます。
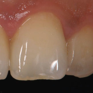
調整して完了です。
ダイレクトボンディングは、天然の歯に近い自然な色や形を短期間で再現できる審美歯科修復です。
高品質なレジンを使い、多数の色調から複数の色を選んで重ねていくことで、ご自身の歯に自然になじむ色に仕上げます。
審美性
周囲のご自身の天然の歯になじむ自然な仕上がりにできる
スピーディ
修復部分に直接詰めるので、型取りがなく治療が当日1回で終わる
体に優しい
金属不使用なので、金属アレルギーや歯茎が変色する心配がない
精密治療
マイクロスコープを使うので削る量が少なく、精密に治療できる
患部を確認します。
虫歯を取ります。
レジンを詰めます。
光で硬化させます。
調整して完了です。
保険診療のレジン充填
ダイレクトボンディング
インレーでは、虫歯となった部分を削って型を取り、型から製作した詰め物で歯を修復します。
メタルインレーは、詰め物を金属で製作します。
セラミックインレーは、詰め物をセラミックで製作する審美歯科修復です。
セラミック素材は、自然な歯のような白さを持ち、金属アレルギーの心配がなく、長く美しい状態を保てます。
保険診療のメタルインレー
セラミックインレー
