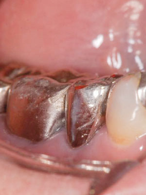
メタルクラウンは、金属を鋳造して作る被せ物です。
金属なので強度が高く、ほとんどの部位に使用できますが、一般に銀歯と言われるように金属色になります。
メリット
▷欠けたり割れたりするリスクが低い
▷保険適用で安価に治療できる
デメリット
▷金属アレルギーのリスクがある
▷歯や歯ぐきが変色することがある
▷口を開けた時に金属色で目立つ
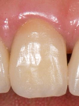
オールセラミッククラウンは、すべてセラミック(陶器)だけで作られた被せ物です。
審美性が高く、天然の歯のような透明感と自然な色合いを再現できます。
メリット
▷天然歯に近い色、透明感、光沢を再現できる
▷金属を使用していないので金属アレルギーの心配がない
▷汚れが付着しにくく、経年劣化の変色が起きにくい
▷生体親和性が高く、歯ぐきとの境目が黒ずむことがない
デメリット
▷衝撃で割れるリスクがある
▷歯を削る量が比較的多くなる
▷天然の歯より硬いため他の歯を痛めることがある
▷保険適用外なので費用が高額になる
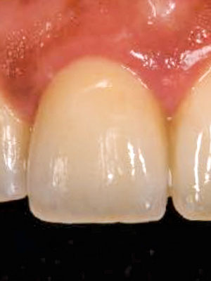
オールセラミッククラウンは生体親和性に優れ、歯肉にやさしい
オールセラミッククラウン
保険診療のクラウン
ジルコニアクラウンは、ジルコニア(酸化ジルコニウム)を素材とした強度と耐久性に優れた被せ物です。
ジルコニアは、透明感のある白色で周囲の歯の色と調和しやすく、自然な見た目を再現することができます。
近年歯科の材料として幅広く用いられるようになったジルコニアは、硬く曲げ強度も高いため、オールセラミックでの治療が困難だった症例でも治療が可能となりました。
メリット
▷強度と耐久性が高く、割れにくい
▷透明感のある白色で自然な見た目にできる
▷金属を使用していないので金属アレルギーの心配がない
▷汚れが付着しにくく、経年劣化の変色が起きにくい
▷生体親和性が高く、歯ぐきとの境目が黒ずむことがない
デメリット
▷オールセラミックに比べて審美性に劣る場合がある
▷素材が非常に硬いため他の歯を痛めることがある
▷保険適用外なので費用が高額になる
前装冠は、中身が金属で外側の見える部分をプラスチックで白くした保険適用の被せ物です。
見た目は自然の歯に近く、中身が金属で強度があるため、ほとんどの部位に使用できます。
メリット
▷自然な歯に近い色で見た目が良い
▷中身が金属なので強度がある
▷保険適用で安価に治療できる
デメリット
▷セラミックに比べると自然さでは劣る
▷周囲の天然歯に色調を合わせられない
▷経年で変色・着色しやすい
▷金属アレルギー、歯や歯ぐきの変色のリスクがある
▷口を大きく開けると裏側の金属が見える
▷保険適用は前歯・犬歯のみ
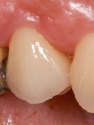
メタルボンドは、中身は金属で外側の見える部分にセラミックを焼き付けた被せ物です。
見た目が自然の歯に近く、変色せずに強度も高いので、見た目と実用性を両立させるためによく使用されています。
さらに、中の金属に貴金属を使用することで、歯ぐきの変色や金属アレルギーの可能性を低くすることができます。
メリット
▷自然な歯に近い色で見た目が良い
▷中身が金属なので強度がある
▷貴金属使用で歯ぐきの変色や金属アレルギーの可能性を低くできる
デメリット
▷金属の種類によっては歯ぐきの変色や金属アレルギーのリスクがある
▷色調はオールセラミッククラウンに劣る
▷口を大きく開けると裏側の金属が見える
▷将来歯ぐきが下がって根元の境目が見えることがある
▷保険適用外なので費用が高額になる
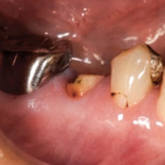
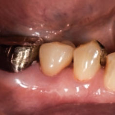
メタルボンド
保険診療のクラウン
CAD/CAM冠は、歯の形をスキャンしたデータをコンピュータに入力し、歯の色に似せたハイブリッドセラミック(レジンとセラミック粉末を混合したもの)のブロックから機械で削り出した被せ物です。
メタルクラウンよりも審美性が高く、金属アレルギーの心配がありませんが、セラミックに比べて耐久性は劣り、変色や摩耗の可能性があります。
メリット
▷自然な歯に近い色で見た目が良い
▷金属アレルギーの心配がない
▷保険適用で安価に治療できる
デメリット
▷自由診療のセラミックに比べると審美性は劣る
▷金属やセラミックよりも耐久性が低い
▷噛み合わせの力が強い場合、割れたり削れることがある
▷経年で変色・着色しやすい
▷生体親和性が低い
▷大臼歯には保険適用の条件がある
ラミネートベニアは、歯の表面をごく薄く削り、そこに薄いシェル(付け爪のようなもの)を貼り付けて歯の色や形を改善する審美治療です。
材料は一般的にセラミックを使用し、歯への負担を最小限に抑えつつ、短期間で美しい仕上がりにすることができます。
治療対象の歯
表面をごく薄く削る
薄いシェルを貼り付ける
治療完了
メリット
▷色だけでなく形も短期間で修正できる
▷ホワイトニングよりもさらに白くできる
▷生まれつき濃い色の歯でも短期間に白い歯になる
▷経年でも色が変わらない
▷削る量が少ないので痛くない(基本的に麻酔不要)
デメリット
▷自分の歯を削る必要がある
▷ホワイトニングに比べて高価
▷使っていくうちに割れたり剥がれたりすることがある
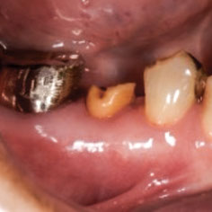
歯は歯槽骨という骨に埋まっていますが、虫歯や歯の割れの治療部分が歯槽骨に埋まっていると治療ができず抜歯になります。
歯牙挺出(エクストルージョン)は、抜歯をせずにご自身の歯を残すため、矯正力でゆっくりと治療部分を歯ぐきの上に引っ張り出し、被せ物をするための充分な歯質を確保する目的でおこないます。
治療前
虫歯や歯の割れが歯槽骨に埋まっている状態では抜歯以外の治療ができません。
ステップ1
埋まっている歯にフックを付け、ゆっくりとゴムの力で引っ張り上げていきます。
ステップ2
歯を治療できる位置まで引っ張り上げると、周囲の歯肉も一緒に持ち上がります。
ステップ3
審美的で適正な歯肉の状態にするため、一緒に持ち上がった周囲の歯肉を切除します。
目的の治療
治療が可能になり、クラウンやブリッジで歯を修復します。
