噛み合わせ治療は複数の治療法の組み合わせ
噛み合わせ治療は、患者様ごとの原因と症状に応じて複数の治療法を組み合わせる総合アプローチです。
患者様の状態とご希望にあわせて、最適なプランを組み合わせて治療計画を立てます。
咬合調整は非常に精密な技術を要します。特に顎関節症の場合は、症状改善を目的とする安易な咬合調整は推奨されません。
| 治療内容 | 目的 | 適応症例 |
| 歯の表面をわずかに削り、噛み合わせを微調整する。 |
・特定の歯への過剰な力の軽減 ・バランスの調整 |
・軽度の噛み合わせの不均衡 ・部分的な早期接触 |
スプリントは顎の位置を安定させます。正しい噛み合わせのポジションを探すための診断ツールとしても活用されます。
| 治療内容 | 目的 | 適応症例 |
| 専用のマウスピースを装着する。 |
・顎関節、筋肉の負担軽減 ・歯ぎしり、食いしばりの軽減 ・正しい顎の位置へ誘導 |
・顎関節症 ・歯ぎしり ・食いしばり |


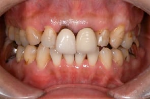
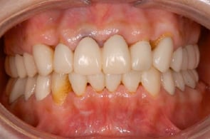
崩れた噛み合わせを修復して高さやバランスを回復し、健全な咀嚼機能を取り戻します。
| 治療内容 | 目的 | 適応症例 |
|
詰め物、被せ物、ブリッジ、義歯、インプラントなどで歯を補う。 プロビジョナル・レストレーションで最終的な補綴物の調整をおこなう。 |
・歯の欠損や摩耗の回復 ・噛み合わせの高さとバランスの再構築 |
・欠けた歯 ・虫歯 ・歯の摩耗による咬合平面の不正 |
<プロビジョナル・レストレーション>
プロビジョナル・レストレーションは、最終的な補綴物を装着する前に用いる仮の修復物(仮歯)です。
しかし、単なる仮歯ではなく、最終的な補綴物のクオリティを高めるための重要な役割を担っています。
補綴治療は失われた歯を人工物で補う治療全般を指しますが、プロビジョナル・レストレーションは補綴治療を成功させるための重要なステップの一つです。
【目的】



根本的な噛み合わせの問題を解決し、上下の歯が理想的な位置で噛み合うように歯並びそのものを動かします。
矯正治療が必要な場合には、矯正治療の専門医をご紹介いたします。
| 治療内容 | 目的 | 適応症例 |
|
ワイヤーやマウスピースで歯を移動させる。 |
・歯並びと噛み合わせの根本的な改善 |
・歯並びの乱れ ・不正咬合 ・歯列全体の問題 |
